Cấy ghép mắt điện tử giúp bệnh nhân mù có thể đọc trở lại
Một con chip siêu nhỏ đang mang đến hy vọng mới cho những người mất thị lực do bệnh thoái hóa điểm vàng - căn bệnh vốn không thể chữa khỏi.
Nhờ đột phá về cấy ghép mắt điện tử tại Vương quốc Anh, những người trước đây bị mù do một căn bệnh phổ biến, liên quan đến tuổi tác và không thể chữa khỏi, nay đã có thể đọc lại được.

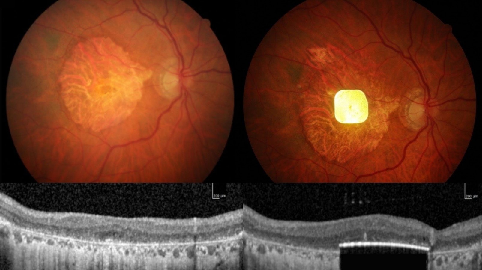
Mắt trước (trái) và sau (phải) khi cấy chip vào dưới võng mạc. Ảnh: Moorfields Eye Hospital
84% bệnh nhân có kết quả tích cực
Thiết bị mang tên Prima, chỉ có kích thước 2mm x 2mm và mỏng bằng một nửa sợi tóc người, được các chuyên gia mô tả là một “sự thay đổi mô hình” trong lĩnh vực thị giác nhân tạo.
Họ tin rằng công nghệ này có thể sớm được cung cấp thông qua Dịch vụ Y tế Quốc gia Anh (NHS).
Được cấy dưới võng mạc - lớp mô nhạy sáng trong mắt - con chip cho phép bệnh nhân nhìn thấy chữ cái, con số và thậm chí cả từ ngữ thông qua mắt từng bị mù. Nhờ “thị lực nhân tạo”, một số người thậm chí có thể giải ô chữ và đọc chữ nhỏ trên nhãn thuốc.
Theo chuyên gia võng mạc Mahi Muqit, thiết bị Prima đã “thay đổi cuộc sống” của nhiều bệnh nhân. Ông chia sẻ: “Tôi có rất nhiều bệnh nhân bị mù, và họ luôn hỏi liệu có thể phục hồi thị lực không Câu trả lời trước đây luôn là không. Nhưng giờ thì khác, chúng tôi có những bệnh nhân đang đọc sách và chất lượng cuộc sống của họ đã cải thiện đáng kể”.
Kết quả được công bố cho thấy 84% bệnh nhân tham gia thử nghiệm có thể đọc chữ cái, số và từ sau khi cấy ghép Prima. Trung bình, họ đọc được năm dòng trên biểu đồ thị lực, trong khi trước đó, một số người không thể nhìn thấy biểu đồ.
Phương thức hoạt động của thiết bị Prima
Thử nghiệm toàn cầu được tiến hành trên 38 bệnh nhân tại 17 cơ sở ở năm quốc gia, bao gồm Anh, Pháp, Ý và Hà Lan.

Bà Sheila Irvine là một trong những bệnh nhân đầu tiên tham gia thử nghiệm. Ảnh: Moorfields Eye Hospital
Tất cả những người tham gia đều mắc chứng teo địa lý (GA), một dạng nặng của thoái hóa điểm vàng khô do tuổi tác (AMD), căn bệnh ảnh hưởng đến khoảng 5 triệu người trên toàn cầu và có thể khiến người bệnh mất hoàn toàn thị lực trung tâm.
Các bác sĩ tiến hành phẫu thuật rồi đặt con chip siêu nhỏ 2 mm dưới võng mạc.
Khi nhìn, bệnh nhân đeo kính thực tế tăng cường có camera kết nối với máy tính nhỏ ở thắt lưng. Camera chiếu tia hồng ngoại đến chip, kích hoạt nó. Trí tuệ nhân tạo (AI) xử lý hình ảnh và biến chúng thành tín hiệu điện, truyền qua dây thần kinh thị giác đến não, nơi hình ảnh được tái tạo thành thị giác.
Các ca phẫu thuật được thực hiện tại Bệnh viện Mắt Moorfields ở London khoảng ba năm trước, và mỗi ca chỉ kéo dài chưa đầy hai giờ.







